CASUS 1
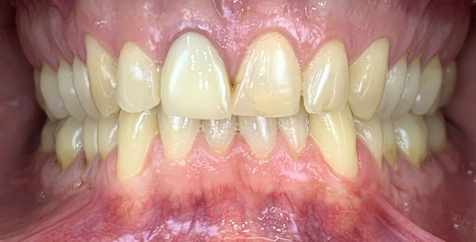
Bij deze casus zijn de twee centrale voortanden aangepakt.
Op de voor foto is namelijk te zien dat 1 voortand wat korter is en een vulling heeft en de andere langere voortand is voorzien van een kroon met daaronder een oude wortelkanaalbehandeling welke zorgt voor een verkleurde wortel welke doorschemert door het tandvlees.
We hebben de oude kroon verwijderd, de wortel intern gebleekt en voorzien van een nieuwe wortelkanaalbehandeling, nieuwe opbouw en een nieuwe kroon. De kortere tand hebben we in dit geval voorzien van een keramische facing.
Beide gelijk aan elkaar en in harmonie met de rest van het gebit qua kleur en vormgeving. Het tandvlees is niet meer verkleurd en is mooi gezond.
.jpg)
.jpg)
TECHNIEK
Op de foto's is te zien hoe we onder ideale omstandigheden (vrij van vocht) de twee duurzaam keramische restauraties geplaatst hebben.
De preparatie van de kortere voortand vlak voor het plaasten.
De geplaatste facing op de kortere tand en de preparatie en nieuwe opbouw van de tand waar al een oude kroon op zat.
Fotos van na het plaatsen







website maken